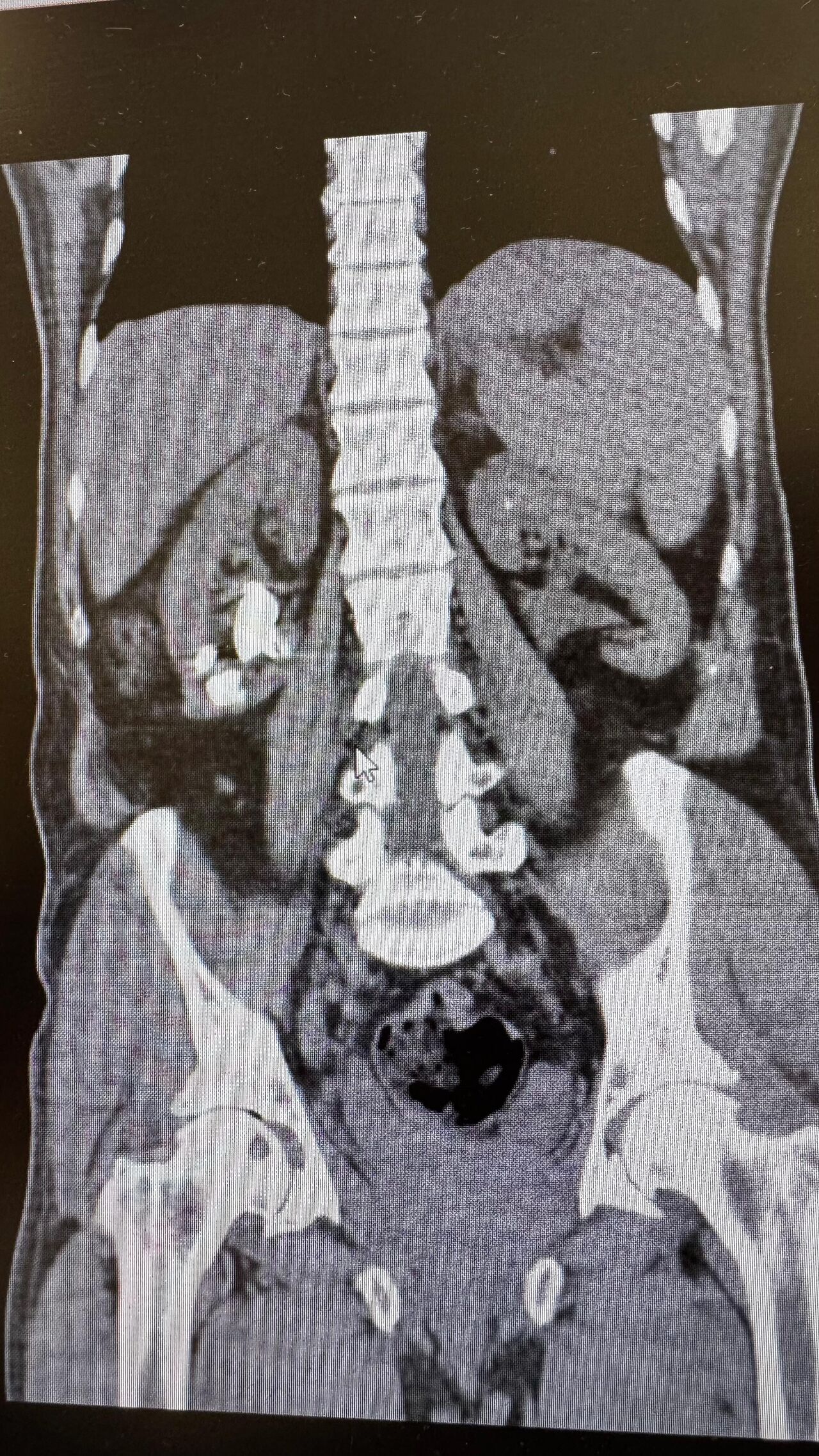
Üroloji Uzmanı Op. Dr. İlker Fatih Şahiner ve ekibince kapalı yöntemle (PNL) yapılan ameliyatlarda hastanın her iki böbreğindeki tekrarlayan sistin taşları temizlendi. Hastanın daha önce 10'un üzerinde böbrek taşı ameliyatı geçirdiği öğrenildi. Mayıs ayında yapılan ilk operasyonla sol böbrekteki taşlar alınırken, geçtiğimiz salı günü gerçekleştirilen ikinci operasyonla sağ böbrekteki taşlar da temizlendi.

Operasyonları gerçekleştiren Üroloji Uzmanı Op. Dr. İlker Fatih Şahiner, "Hastamızın her iki böbreğinde de tekrarlayan sistin taşları mevcuttu. Mayıs ayında sol böbreğine PNL yaparak taşsızlık sağlamıştık. Dün de sağ böbreğine PNL ameliyatını yaparak taşsızlık sağladık. Hastamızın genel durumu iyi, tedavisi servisimizde devam ediyor" dedi.

Başarılı operasyonların ardından hastanın yıllardır süren böbrek taşı sorunundan tamamen kurtulduğu bildirildi.




