soruşturma izni haberleri

soruşturma izni haberleri ve güncel soruşturma izni gelişmeleri, soruşturma izni ile ilgili tüm video, soruşturma izni fotoğrafları ve soruşturma izni haberleri Antalya Ekspres sitemizde


YEREL GÜNDEM

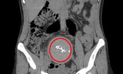
Antalya'da 2021 yılında özel bir hastanede doğum yapan Y.S.'nin (34) vücudunda unutulan 30 santimetrelik gazlı bez, çekilen tomografi ile görüldü....

Üst
setInterval(function() { location.reload(); }, 180000); // 180000 milisaniye = 3 dakika