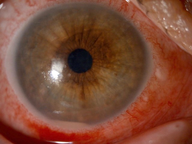
Kocaeli’nde yaşayan 52 yaşında kadın, iddiaya göre uzağı görememesi sebebiyle kullandığı gözlükten kurtulmak için yaklaşık 7 ay önce kırlangıç otunun suyunu gözlerine damlattı ve bir anda göremez hale geldi. Önce gözlerinde yanma, batma hisseden ve sonrasında açamaz hale gelen kadın hemen hastaneye koştu. O dönem Kocaeli’nde çalışan Göz Hastalıkları Uzmanı Doç. Dr. Ömer Faruk Yılmaz ve ekibi hastaya müdahale ederken korneanın en dış katmanı olarak ifade edilen kornea epitelinin zarar gördüğü belirlendi. Göze yabancı cisim, kimyasal madde kaçması ya da enfeksiyon durumlarında gözü temizlemek amacıyla uygulanan göz yıkama tedavisi gerçekleştirildi. Yaklaşık 2 haftalık tedavinin ardından hasta sağlığına kavuştu. Doç. Dr. Yılmaz, hastasının yaşadığı süreç ve tedavisine ilişkin bilgi verdi. Yılmaz, hekim önerisi olmadan herhangi bir ürün kullanılmaması gerektiğine dikkat çekerek önemli uyarılarda bulundu. Öte yandan hastanın göz bebeğinin beyazlığı ve göz akının ise kızardığı hali fotoğraf karesine yansıdı.

"Gözlerini açamıyordu, ‘Acaba göremeyecek miyim?’ diye geldi"
Hastasına ilişkin bilgi veren Doç. Dr. Ömer Faruk Yılmaz, "52 yaşında bir bayan hastamız, kızının önerisiyle gözlükten kurtulmak için 2 gözüne taze kırlangıç otu suyunu sıkarak damlatmıştı. Kırlangıç otunu sıktığımız zaman sarı bir sıvı akmaktadır. Hastamız o sıvıyı her 2 gözüne damlatmış. İlk aşamada gözünde yanma, batma oluyor, birkaç saat sonra her 2 gözünü açamıyor, tamamen göremez hale geliyor. Bize geldiğinde hastamız 2 gözünü açamaz haldeydi. Göz muayenesinde 2 gözün korneasının tamamen tahrip olduğunu gördük. Korneanın epiteli tamamen soyulduğu için hastamızın gözünde pü şeklinde akıntı mevcuttu. Hasta, ‘Acaba göremeyecek miyim, gözüme ne oldu, bu ilacı neden damlattım?’ diye sorgulayarak gelmişti" dedi.

"Sosyal medyada son zamanlarda çok yaygınlaşmaya başladı"
Uyguladıkları tedaviye yönelik konuşan Doç. Dr. Yılmaz, "Göz uyuşturucu damla ile hastanın gözünü açtık, muayenemizi yaptık. Kornea epiteli tamamen deforme olmuştu. Her 2 gözünü 25 dakika yıkadık, gerekli tedavi ve damlalara başladık. Yaklaşık 6-7 ay önce oldu, toplam tedavimiz 10 gün- 2 hafta süresince devam etti. Tedavi sonunda 2 gözünde görmesine tamamen ulaştı. Hasta ilk başta çok korkmuştu, 2-3 gün boyunca bayağı sıkıntılar yaşadı. İlk 2 gün hatta ağrıdan, yanmadan, batmadan hasta uyuyamadı, iyileştikten sonra çok mutlu olmuştu. Sosyal medyada özellikle son zamanlarda kırlangıç otu çok yaygınlaşmaya başladı. Literatürü taradığım zaman kırlangıç otunun tarihte birçok hastalıklara; cilt, mide hastalıkları gibi hastalıklara geleneksel olarak kullanıldığını gördüm. Bitkisel ilacın içeriği faydalı olsa bile yüksek doz damlatılması gözümüze zarar verebilir" diye konuştu.
"Hekim önerisi olmadan herhangi bir ilaç önermiyoruz"

Doktor tavsiyesi olmadan ürünlerin kullanılmaması gerektiğini ifade eden Doç. Dr. Yılmaz, sözlerine şöyle devam etti:
"Kırlangıç otu kullandı, hastamız göremez hale geldi eğer tedavi edilmeseydi sonucun ne olacağını bilemiyoruz fakat tedavi sonucunda hastamız iyileşti. Gözlerinin fotoğrafını çektirdim, kırlangıç otunun geçişini gösterdik. Tedavi edilmediği zaman göz içinde belki de körlüğe ulaşabilecek şekilde istenmeyen yan etkilere yol açabilir. Yüzlerce farklı ot olabilir, yanlışlıkla faydalı bir ot damlatacağız diye zararlı bir otu damlatabiliriz. Göze direkt damlatılması steril değildir, göze zarar verebilir, enfeksiyon oluşturabilir. Faydalı bile olsa Sağlık Bakanlığı ruhsat vermeden, ilaç formatına dönüştürmeden, uygun dozajlar ayarlanmadan ve göz hekiminin önerisi olmadan göze herhangi bir bitkisel ilaç damlatılmasını önermiyoruz."




